Bu ilin fevral ayında sinəsində ağrı şikayəti olan 45 yaşlı xəstə Kliniki Tibbi Mərkəzin Torakal Cərrahiyyə şöbəsinə müraciət edib.
“Qafqazinfo” xəbər verir ki, bu barədə KTM məlumat yayıb.
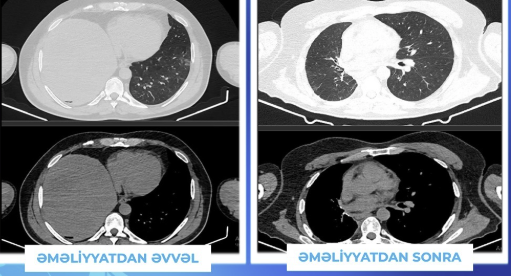
Bildirilib ki, aparılan müayinələr zamanı sağ döş qəfəsi boşluğunun böyük hissəsini dolduran, ətraf orqanlarla yaxın təmasda olan, təxmini ölçüsü 18 sm olan, nəhəng və solid ağciyər törəməsi aşkarlanıb.
Sağ ağciyərin orta və aşağı pay lobektomiyası ilə birlikdə, diafraqma rezeksiyası və rekonstruksiyası da icra edilərək invaziv törəmə en bloc şəkildə çıxarılıb.
Patologiya nəticəsində, çıxarılmış törəmənin ağciyərdə son dərəcə nadir rast gəlinən Solitar Fibroz Tümor olduğu təsdiqlənib. Xəstə əməliyyatdan 8 gün sonra heç bir ağırlaşma olmadan evə buraxılıb. 6 aylıq müayinədə onkoloji xəstəliyin lokal olaraq kontrol altında olduğu müəyyən edilib.

Son xəbərlər
Son Xəbərlər